美しさ、噛み心地、価格も妥協しない審美歯科治療
生体親和性の高いチタン素材の人工歯根をアゴの骨に埋入し、その上にセラミック製の人工歯冠を被せる治療。本物の歯のようにしっかり咀嚼することができます。
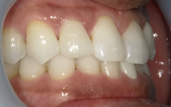
審美性の高いセラミック人工歯冠を被せ歯並び・出っ歯・すきっ歯など、見た目を整える治療です。
またインプラントの人工歯として使用されます。
当院のオフィスホワイトニングは、LEDライト・ハロゲン光・超音波をしっかり照射します。生活習慣や加齢に伴う黄ばみをしっかりと漂白。
自身の歯を少しだけ削って、セラミック製の薄い板を貼り付け、見た目を改善する注目の審美歯科治療です。
インビザラインに次ぐ世界第2位のシェアを誇るマウスピース矯正。部分矯正~中程度の不正咬合に対応。
超音波を使って歯ぐきの中の見えない部分(歯周ポケット)にある歯垢・歯石を除去します。最後にフッ素加工で仕上げてプラークの付着をにしくくします。
歯ぐきの色やボリューム、ガミースマイルでお悩みでしたらご相談ください。
虫歯があまり進行していない場合はセラミックやジルコニアで歯の詰め物を作り治療します。
変色してしまった詰め物や金属の詰め物の取り替えも可能です。
削らないから痛くない歯のウィッグ「スナップオンスマイル」をピタッと貼るだけ!
院長は歯科歴20年以上ありインプラントやセラミックの治療に長けております。日本口腔インプラント学会所属の医師や口腔外科経験のある医師も在籍しております。
当院のインプラント治療には安全性に裏付けがあるストローマン社製インプラントのみを使用し、価格を抑えた料金に設定しております。
診察室は品川院は完全個室、梅田院は半個室になっているので、プライバシーがしっかりと守られ、リラックスして治療を受けていただける環境を整えています。
いくつかの麻酔を組み合わせ患者様の負担に配慮した治療をおこなっております。

カウンセリングの際に、患者様のご希望やご予算、いつまでに治療をを終わらせたいかなどを伺い、患者様おひとりお一人に合わせた治療計画をお作りいたします。

JR品川駅、京急品川駅・大阪メトロ梅田駅、大阪メトロ梅田駅にある当院は駅から徒歩2~3分と通いやすい場所にあり、沿線にお住まいの方、お仕事帰りの方も多くご来院いただいております。
2025.11.25 桜ジルコニアセラミック、桜ジルコニアナチュラルクラウン、リファインドセラミックが期間限定20%OFF!詳しくはキャンペーンページをご確認ください。
2025.10.30 11月1日よりインプラント治療が総額297,000円のインプラント安心総額プランが期間限定で登場。
2025.5.1 BMC(ビューティーメンバーズクラブ)制度を廃止いたしました。詳しくは会員特典のページをご確認ください。
2025.5.1 BMC(ビューティーメンバーズクラブ)が廃止に伴い料金を見直しました。詳しくは料金表のページをご確認ください。
2025.1.29 インプラント専門サイトをリニューアルいたしました。
2025.1.16 品川院に別府 大嘉繁 医師が入職しました。
2024.12.05 品川院限定でマウスピース矯正クリアコレクトの取り扱いを開始いたしました。詳しくは治療ページをご覧ください。
2024.01.22 インプラント大手ストローマン社の国産ジルコニアセラミックを導入しました。詳しくは治療ページをご覧ください。
美しい口元は、第一印象を大きく左右する大切な要素です。笑顔に自信を持つことで、日常生活や仕事、そして人間関係においても前向きな影響を与えてくれます。品川デンタルケアクリニックでは、単に歯を白く整えるだけでなく、患者様一人ひとりの「自然な美しさ」と「機能性」を両立させる審美歯科治療を提供しています。
当院の審美歯科治療は、セラミック治療、ホワイトニング、ラミネートベニア、歯肉形成など、多様なメニューを用意しており、患者様のご要望やお口の状態に合わせた最適なプランをご提案します。例えば、銀歯を白いセラミックに置き換えることで自然な見た目を取り戻すと同時に、金属アレルギーの心配も軽減できます。また、オフィスホワイトニングやホームホワイトニングを組み合わせることで、より理想的な白さを長期間キープすることも可能です。
さらに、審美性だけにとどまらず、かみ合わせや歯並び、歯の耐久性といった機能面も重視しています。見た目だけを追求すると、将来的に噛みにくさや歯への負担が生じることがあります。当院では豊富な経験を持つ歯科医師が、最新のデジタル機器や高精度の技術を駆使し、自然で長持ちする治療を心がけています。
品川デンタルケアクリニックは東京・大阪に拠点を構え、幅広い年代の患者様にご来院いただいております。特に50代以降の方からは「若々しい笑顔を取り戻したい」「入れ歯やインプラントとあわせて見た目も整えたい」といったご要望が多く寄せられています。そのようなニーズに応えるために、審美治療と機能回復治療を組み合わせた包括的な診療を行っている点も特徴のひとつです。
治療前には丁寧なカウンセリングを行い、歯の色や形、歯並びに関するお悩みをじっくり伺います。その上でシミュレーションを用いた治療計画を立て、仕上がりをイメージしていただきながら安心して治療を進められるようサポートします。
「自然で美しい笑顔を取り戻したい」「長く健康な歯で過ごしたい」とお考えの方は、ぜひ品川デンタルケアクリニックの審美歯科治療をご相談ください。私たちは見た目の美しさだけでなく、健康で快適な毎日を支える口元づくりを全力でお手伝いいたします。
診療時間は10時~19時まで診療しています。
通学や通勤のお帰りにも立ち寄っていただけます。※月1回不定休有
| 診療時間 | 月 | 火 | 水 | 木 | 金 | 土 | 日 |
|---|---|---|---|---|---|---|---|
| 10:00-19:00 | ● | ● | ● | ● | ● | ● | ● |
住所 東京都港区港南2-6-3シントミビル4F
Tel0120-418-370
※月1回不定休有
診療時間は10時~19時まで診療しています。
通学や通勤のお帰りにも立ち寄っていただけます。
※木曜日・日曜日休診・他不定休有
| 診療時間 | 月 | 火 | 水 | 木 | 金 | 土 | 日 |
|---|---|---|---|---|---|---|---|
| 10:00-19:00 | ● | ● | ● | × | ● | ● | × |
住所 大阪市北区梅田1-11-4 大阪駅前第4ビル2F
Tel 0120-418-381
※木曜日・日曜日休診・他不定休有
このページは歯科医師免許を取得した品川デンタルケアクリニックの歯科医師が監修をおこなっております。品川デンタルケアクリニックには日本口腔インプラント学会所属の村井医師をはじめ歯科医師歴20年以上、口腔外科経験のある医師が在籍しております。
品川院 院長
久道 聡 医師
品川院
村井 東俊 医師
品川院
別府 大嘉繁 医師

梅田院 院長
松岡 千恵子 医師